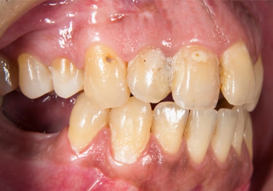
Biofilm Accumulation: Caries and White Spot Lesions

 

Dental Caries and Plaque