Dental Products
Patient Education
Dentist Resources
Resources for Student & Faculty
Science & Innovation
Community Outreach
By Type
By Brand
How to Order
Categories
Topics
Age Group
Brands
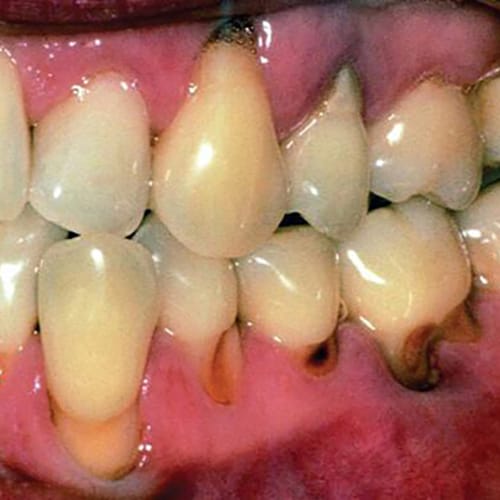
Localized Recession And Root Caries